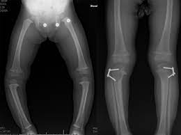
Deformity correction, Limb,lengthening

MEDIHEAL HOSPITAL is committed to providing affordable, quality services to patients by incorporating improvement in its day-to-day schedule.

Deformity correction, Limb,lengthening

Surgery depending on the type of deformity, surgery may be the best way to permanently correct it. Our surgeons are skilled in applying internal and external rods, plates and frames to help lengthen or straighten the affected limb.

An MD, also known as a Doctor of Medicine in Pathology, specializes in studying various diseases and the causes and effects of those diseases. After completing an MBBS program, a student may pursue an MD in Pathology, a postgraduate degree that takes two years to complete